
·水泡状胎块
完全性水泡状胎块

呈典型的“葡萄串状”,绒毛均发生水肿变性。特点:滋养细胞增生和绒毛囊泡状肿胀
与正常妊娠早期绒毛周围增生的滋养细胞排列的极向不同,完全性水泡状胎块增生的滋养细胞特征性地环状围绕每个绒毛且排列紊乱。看不到绒毛膜癌中常见的合体滋养细胞和细胞滋养细胞混合生长而形成的从状结构。
部分性水泡状胎块

可见囊泡状绒毛和正常绒毛混合存在。前者常显示局灶性水肿,导致中心“水池”形成以及滋养细胞间质包涵体。许多绒毛呈不规则形或扇贝形,并含有血管,其内有胎儿(有核 ) 红细胞绒毛间质常有纤维化。滋养细胞显示增生,尽管一般不如完全性水泡状胎块严重,合体细胞胞质空泡化非常显著
·绒毛膜癌

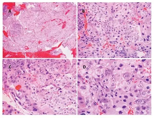
图1. 绒毛膜癌;该肿瘤特征性的形成实性、破坏性肿物(A);肿瘤细胞为单核的中间滋养细胞/细胞滋养细胞呈双相或三相的增生,周围为一圈多核的合体滋养细胞(B、C);一般总是存在显著的细胞学异型性(D)。
质软,呈暗红色,有出血的圆形结节状肿物
没有一般所固有的结缔组织性间质细胞,只有滋养细胞、血块及凝固性坏死构成的坏死灶,也没有固有的血管,癌细胞直接与宿主血液接触取得营养。在癌灶中心部,往往找不到癌细胞,越是靠近边缘部,肿瘤细胞越明显,但见不到绒毛结构,只能见到成团的滋养细胞。
HCG和角蛋白阳性,早期血行转移至肺、肝、脑、肾和肠
免疫组化合体滋养细胞弥漫强阳性表达hCG、HSD3B1;中间滋养细胞表达Mel-CAM、HLA-G、MUC-4。同时瘤细胞表达AE1/AE3。Ki-67增殖指数一般高于90%。
·中间滋养细胞肿瘤
胎盘部位滋养细胞肿瘤

胎盘部位滋养细胞肿瘤,胎盘种植部位中间滋养细胞异型增生,累及子宫肌层;瘤细胞呈较大上皮样,细胞异型性中等至显著;肿瘤与子宫肌层交界处,瘤细胞特征性的侵袭至子宫平滑肌细胞之间。
罕见,子宫肌层和血管腔内可见大的滋养细胞,胞质丰富,呈嗜酸性,胞核有多形性。hPL 呈强阳性且分布较广,hCG 往往呈局灶阳性。其肿瘤细胞表达角蛋白、CD66a ( CEACAM1 )、CD146( MelCAM )、妊娠相关的主要基本蛋白质、HLA-G 和抑制素
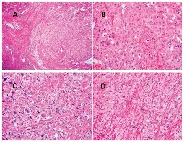
上皮样滋养细胞肿瘤

上皮样滋养细胞肿瘤形态学特点:上皮样中间滋养细胞形成巢状,膨胀性生长。
囊实性肿瘤,散在分布,可见出血。类似于肺鳞状细胞癌和多形性癌。其血清 hCG 水平通常升高。显微镜下,可见其是由相对一致的中间滋养细胞构成的巢和实性团块,可见广泛坏死和地图状分布的玻璃样基质。肿瘤对角蛋白、α抑制素、EMA、p63、HLA-G 和E钙粘连蛋白呈弥漫性表达,但对 hPL、hCG、PLAP 和 CD116(Mel-CAM)仅呈局灶阳性 。细胞周期蛋白 E 呈阳性有助于其与胎盘部位滋养细胞肿瘤鉴别,p16 呈阴性有助于其与宫颈癌和其他类型的癌鉴别
Gestational Trophoblastic Tumors: A Timely Review of Diagnostic Pathology[J].Archives of pathology & laboratory medicine,2018.DOI:10.5858/arpa.2018-0234-RA