近期,海南医学院附属医院肝胆外科为一例右肝多发占位的患者行选择性肝脏血流阻断,解剖性6、7、8段肝切除。
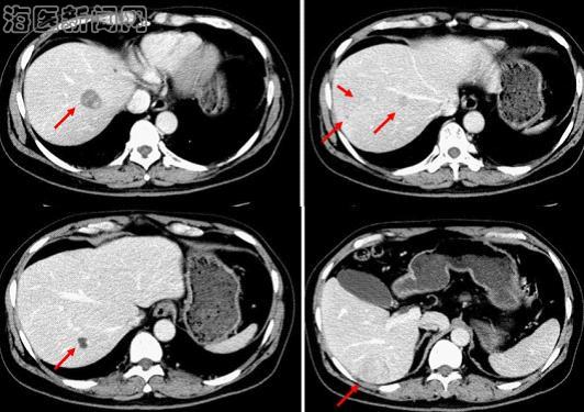
该名患者为老年男性,肝脏CT检查示6、7、8段出现多发占位,考虑原发性肝癌。但病人的体重较重,左半肝体积又很小,如行右半肝切除左半肝不能满足病人所需的最小肝脏体积,术后发生肝功能衰竭的风险极高。该病例的病灶位于右肝6、7、8段,若能保留5段则剩余肝脏能满足病人所需的最小肝脏体积,因此经过严密的术前讨论分析,肝胆外科贾长库主任选择了手术难度非常大的保留5段的规则性右肝三段切除。
病人术后第一天腹腔引流液约700ml,第2天至第5天约400ml,以后逐渐减少,术后第10天拔出腹腔引流管,第20天出院。出院时AFP12.8ng/ml,肝功能和其他指标均正常。
据了解,这种规则性肝段切除的难度极大,既要明确各段的具体位置,又要保证保留的肝段有良好的血供和回流。手术中成功解剖第一肝门,尤其是分别解剖出右半肝和6、7段的格林森氏蒂,从而确定和标记8段与左肝的分界线,以及确定和标记出6段与5段之间的分界线尤为重要,是手术最关键的要点。通过这样的两次标记后可以确定出预保留的5段位置。从而在肝脏的脏面上确定出类似于“
”型的切除线。
此外,5段肝脏由肝中静脉引流,因此术中避免损伤肝中静脉从而保证保留的5段有良好的回流非常重要,是手术的第二个难点和要点。另外,本例手术采用选择性肝脏血流阻断技术,在切割横断6段和5段以及5段和8段之间的肝实质时只阻断右半肝的入肝血流,在切割横断8段和左肝之间的肝实质时才阻断全肝的入肝血流,最大程度的减少肝脏的缺血再灌注损伤。肝硬化患者在手术中对缺血和失血的耐受性差,不能经受长时间的全肝入肝血流阻断,选择性肝脏血流阻断技术保证切肝时健侧肝脏正常的血供,又可使肠系膜血流通过健侧肝脏回流,不仅有利于血液动力学的稳定,也不会发生因肝门阻断造成的细菌及内毒素移位和肠粘膜的损伤,对本例病人的顺利完成手术及术后恢复都至关重要。完成肝切除后保留的5段及左肝血供及回流均很好。
目前中外文献中尚未检索到解剖性的规则性6、7、8段肝切除的报道,肝胆外科已将这例创造性的运用选择性肝脏血流阻断技术完成的复杂肝切除总结成文章,向全世界的医疗同仁介绍他们解剖性肝切除的技术和经验。
